جاري التحميل

تقوص الركب يمنع هاجر من العودة للمدرسة

تقوص الركب يمنع هاجر من العودة للمدرسة
  • 1609
  • طبية
  • جارية
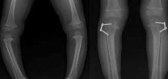
الام ايمان تروي دامعة العين على طفلتها هاجر التي تعاني من تقوص في الركب نتيجة لنقص الكالسيوم جراء سوء التغذية كان الوضع المعيشي للاسرةسببا من الاسباب التي تلاحقها
البوم هاجر تتوق شوقا لعودتها للمدرسة مندفعه من جديد للحياة
لتكن صدقتك اليوم مستقبلا جميل لها
المبلغ المطلوب

10,000جنيه مصري

المبلغ المدفوع:
جنيه مصري
المبلغ المتبقي:
10,000 جنيه مصري
0% المبلغ المدفوع
تبرع

عدد المتبرعين: 0